| Gostou do Artigo ? |
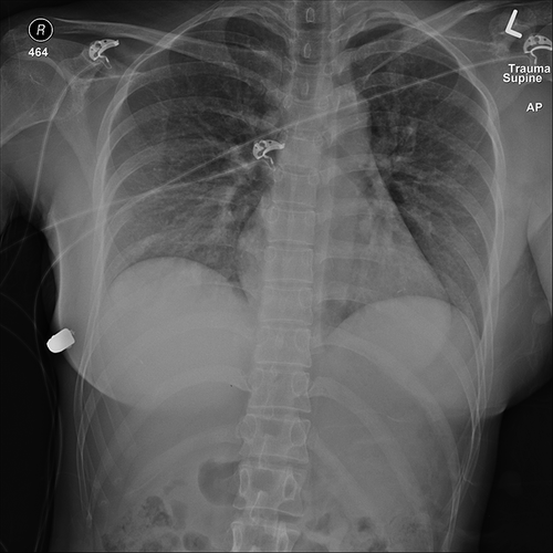
Recentemente, uma mulher de 30 anos foi salva pelo seu implante de silicone, mesmo após ter sido alvejada no peito no Canadá. A Plastic Surgery Case Studies acabou por divulgar este caso impressionante.
De acordo com os mesmos, os profissionais de saúde revelaram que a paciente não sentiu o tiro e só se apercebeu depois de sentir um género de ‘calor’ no seu seio esquerdo. Após isto, a mulher deu entrada no hospital e lá conseguiram ver que a bala teria perfurado o peito mas acabou desviada pelo implante.
No ínicio do artigo pode ser ler: “A prótese de silicone provavelmente foi responsável por desviar a trajetória da bala e salvar a vida da mulher. Com base na trajetória de entrada da bala, a única fonte de deflexão do projétil foi o implante da mama esquerda. Esse implante cobre o coração e a cavidade intratorácica e, portanto, provavelmente salvou a vida da paciente“.
“A história infeliz tem um final feliz, pois a paciente sofreu apenas ferimentos ligeiros e recuperou-se completamente”, concluiu Giancarlo McEvenue, médico responsável.
| Gostou do Artigo ? |



